Se presenta el caso de una paciente de 78 años con antecedente de hipertensión arterial, fibrilación auricular crónica y cardiopatía isquémica revascularizada percutáneamente, derivada a intervención por el servicio de cardiología con el diagnóstico de estenosis aórtica grave y clase funcional de la New York Heart Association (NYHA) II-III. Se decidió cirugía convencional mediante sustitución valvular por bioprótesis sin suturas Perceval S tamaño M (Livanova, Saluggia, Italia). La cirugía se realizó sin incidencias y se trasladó a la paciente a la unidad de cuidados intensivos (UCI), según protocolo habitual, anestesiada, intubada y con medicación vasoactiva a dosis bajas, para el tratamiento postoperatorio (PO) inmediato.
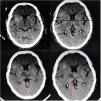
Este primer periodo transcurrió según el protocolo establecido, y se la extubó a las 4h de su llegada a la unidad, con retirada de medicación, débito por drenajes de 260ml en total y con buena diuresis. Sin embargo, en el primer día del PO en el horario matutino, la paciente, de forma abrupta y sin ninguna sintomatología ni signo clínico previo, presentó un cuadro consistente en desconexión del medio y entrada en coma, con necesidad de reintubación inmediata. Se realiza una tomografía axial computarizada (TAC) de cráneo que no informó de ningún hallazgo patológico, como se muestra en la figura 1. No obstante, debido a que el estado comatoso de la paciente no revertía, se hizo una interconsulta con el servicio de neurología y se decidió repetir la TAC a las 48h; en esta segunda TAC se objetivó el diagnóstico compatible con síndrome de Percheron (fig. 1).
El síndrome de Percheron, descrito por primera vez por Percheron en 1973, es un trastorno muy infrecuente, con escasos casos documentados, por lo que resulta de difícil diagnóstico. Consiste en un infarto talámico paramediano bilateral sincrónico que provoca la oclusión de dicha arteria y un gran deterioro sensorial de instauración súbita. La irrigación del tálamo depende en su mayoría de las arterias comunicante posterior y cerebral posterior y de sus ramas, aunque con múltiples variantes respecto a la normalidad, entre ellas las ramas polares, que pueden estar ausentes en hasta un 30% de la población, y ser sustituidas por las arterias de Percheron o paramedianas. Estas arterias de Percheron suelen ser independientes y bilaterales; sin embargo, en ocasiones son ramas unilaterales de la arteria cerebral posterior, por lo que su obstrucción produce falta de irrigación talámica bilateral1–3.
Su presentación clínica se caracteriza por la afección del nivel de conciencia, incluido el coma, con cambios fluctuantes del mismo, así como alteración del lenguaje, del estado de ánimo, de los pares craneales, del movimiento, de la memoria (amnesia) y del sueño. De los escasos casos publicados, se ha visto que la principal causa de este síndrome (un 60%) es la enfermedad de pequeño vaso, y el otro casi 40% por cardioembolia, es más prevalente en el sexo masculino, con una edad media de presentación de 60 años, y relacionado en un 77% de los casos con factores de riesgo cardiovascular. La TAC inicial suele ser normal en la mayoría de los casos, y es necesario repetir dicha prueba o realizar una resonancia magnética, que el gold standard para su diagnóstico. En el caso que presentamos, fue la segunda TAC de cráneo la que confirmó la presencia del síndrome de Percheron. Al quinto día del PO, la paciente mantuvo un nivel de conciencia estable, lo que permitió su extubación, y quedó con una leve alteración de la memoria y claudicación de la extremidad superior izquierda, por lo que se la pudo trasladar a planta para continuar los cuidados, sobre todo rehabilitación1–4.
En conclusión, el síndrome de Percheron es una enfermedad muy inusual, que representa entre el 0,1-2% de los infartos cerebrales isquémicos, relacionado con las variantes anatómicas de la irrigación talámica, con unas pruebas diagnósticas iniciales casi siempre normales, lo que podría explicar su infradiagnóstico. Por lo tanto, debe ser uno de los cuadros que se deben tener en cuenta en el diagnóstico diferencial del infarto cerebral provocado por embolias, hipoperfusión cerebral y otros cuadros neurológicos que se presenten con aparición de coma como crisis comiciales, o la encefalopatía hipóxica grave, incluso en los pacientes postoperados de cirugía cardiaca, como demuestra el caso que presentamos, ya que la evolución del paciente dependerá de la sospecha y del diagnóstico precoz debido a que, como todos los infartos, requiere un tratamiento trombolítico igual de precoz y adecuado5.







