El paraganglioma es un tumor neuroendocrino raro (0,8 por cada 100.000 personas/año), que se desarrolla a partir de células cromafines localizadas mayoritariamente en la médula suprarrenal (feocromocitoma/paraganglioma adrenal) y en un 10% en ganglios simpáticos y parasimpáticos (paragangliomas extraadrenales)1.
La sintomatología clínica, secundaria a la secreción de catecolaminas es muy variada, con mayor incidencia entre los 30 y los 50 años. Los síntomas más frecuentes son la hipertensión y la sudoración (90 y 70% de los casos, respectivamente)1,2. Además, se han descrito casos en los que se manifiesta como miocardiopatía dilatada con disfunción ventricular grave, infarto agudo de miocardio, síndrome de tako-tsubo o miocarditis2–4. Sin embargo, existen pocas situaciones en las que se presenta como disfunción multiorgánica, siendo los efectos cardiovasculares, generalmente, reversibles tras una cirugía curativa.
Se describe el caso de un varón de 28 años, sin antecedentes relevantes, que consultó por disnea secundaria a miocardiopatía dilatada de novo con disfunción biventricular y shock cardiogénico.
A su llegada, el paciente presentaba tendencia a la hipertensión (190/90mmHg) y taquicardia (130lpm), con elevación del segmento ST septal <1mm en el electrocardiograma. Presentaba cardiomegalia en la radiografía de tórax y elevación de troponina I, leucocitosis y neutrofilia en la analítica sanguínea. El ecocardiograma mostró hipocinesia difusa y dilatación del ventrículo izquierdo con insuficiencia mitral grave y fracción de eyección del ventrículo izquierdo del 15%. La sospecha inicial fue de miocarditis infecciosa, por el antecedente de una picadura de garrapata. En la resonancia magnética cardiaca se observó realce tardío sugestivo de necrosis y un trombo apical (fig. 1). Pese al inicio de la anticoagulación, presentó un ictus isquémico cardioembólico por el que se trasladó a nuestro centro para realización de trombectomía mecánica y completar el estudio cardiológico.
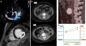
Algoritmo diagnóstico de la disfunción ventricular grave por feocromocitoma. A) Miocardiopatía dilatada de novo con insuficiencia mitral funcional grave. Además, en la resonancia magnética cardiaca se observa el realce tardío compatible con infarto. B) Crecimiento de la masa retroperitoneal. C) Tomografía por emisión de positrones. D) Niveles de las metanefrinas.
Se realizó una coronariografía que fue normal, y se sospechó un infarto embólico. Por ello, tras 2 tomografías computarizadas craneales de control, se reintrodujo la anticoagulación una semana después. Debido a fiebre persistente sin foco claro, se solicitó una tomografía por emisión de positrones que mostró una masa retroperitoneal de 42×42×47mm con intenso hipermetabolismo patológico (fig. 1), ya presente, aunque de menor tamaño, en una tomografía computarizada realizada en 2013 por pancreatitis, que determinó catecolaminas negativa en ese momento. Todos los estudios microbiológicos fueron negativos.
Durante la dosificación de fármacos bloqueadores beta, presentó shock cardiogénico con deterioro de la fracción de eyección del ventrículo izquierdo que precisó inotrópicos. Con estos hallazgos y teniendo en cuenta el comportamiento hemodinámico con los bloqueadores beta, se realizaron 2 determinaciones de catecolaminas urinarias cuyo resultado fue más de 4 veces los valores normales, lo que confirmó el diagnóstico: paraganglioma secretor de normetanefrina y noradrenalina (fig. 1). Además, apareció elevado el ácido vanilmandélico, dato específico de esta entidad.
Se inició tratamiento con alfa bloqueo a altas dosis (fenoxibenzamina 90mg/día), expansión de volumen y posteriormente, tratamiento con bloqueadores beta a dosis bajas por tendencia a hipotensión. En situación clínica estable, tras 21 días de tratamiento, se realizó cirugía por vía laparoscópica. La evolución clínica y ecocardiográfica fue favorable: 30 días después, se encontraba en clase funcional I de la New York Heart Association, con mejoría de la fracción de eyección del ventrículo izquierdo (35%), de las presiones pulmonares, y la práctica desaparición de la insuficiencia mitral. Sesenta días más tarde, presentaba fracción de eyección del ventrículo izquierdo del 45% sin otras alteraciones. Finalmente, la anatomía patológica confirmó la sospecha, y presentó inmunohistoquímica compatible con un subtipo de bajo riesgo de síndrome de paraganglioma familiar (tipo 5, por mutación en la enzima Succinate Dehydrogenase Subunit A [SDHA]). Se solicitó estudio genético5 aún pendiente de resultados. Se confirma que se obtuvo el consentimiento informado del paciente.
El paciente tuvo una presentación atípica con ausencia de la tríada clásica (40% casos) de cefalea, sudoración y palpitaciones, y se orientó incluso como una posible miocarditis de Lyme. Es fundamental tener en cuenta que la secreción de catecolaminas por parte del tumor, puede desencadenar una crisis adrenérgica con numerosas manifestaciones cardiovasculares, muchas veces secundarias a la vasoconstricción coronaria3, bien de forma espontánea o precipitándose, de forma característica, durante la inducción anestésica, el parto o tras la administración de bloqueadores beta por pérdida de vasodilatación mediada por los receptores beta 23. El diagnóstico definitivo lo aportaron los estudios de imagen y la determinación de catecolaminas2. La gammagrafía con metayodobenzilguanidina presentó un falso negativo: aunque su sensibilidad se informa entre el 75-90%, esta disminuye en el caso de los paragangliomas extraadrenales2.
Existen 2 grupos fundamentales de cardiopatías secundarias a feocromocitomas: la de estrés/tako-tsubo, en la que un desencadenante genera una importante crisis adrenal, y la catecolaminérgica (CC)4, tras una exposición repetida y crónica. Ambas entidades se presentan de forma similar en fase aguda: disfunción ventricular de novo acompañada de síntomas sugestivos de feocromocitoma, si bien su fisiopatología y recuperación difiere. La cardiopatía tako-tsubo tiende a presentar un curso agudo, con mayor recuperación (95% casos frente al 75%) en menos tiempo (mediana de 14 días frente a 30) que la catecolaminérgica4. En nuestro caso, la cardiopatía apuntaba a que era catecolaminérgica: el paciente presentaba una masa desde hacía 6 años, con un importante remodelado ventricular desde el principio, sin segmentarismos y los cambios eléctricos podían explicarse por un infarto embólico. Además, la recuperación fue lenta pero progresiva (tabla 1).
Comparativa entre cardiopatías de tako-tsubo y catecolaminérgica
| Cardiopatía de tako-tsubo | Cardiopatía catecolaminérgica |
|---|---|
| Paraganglioma extraadrenal (abdominal) | Paraganglioma extraadrenal (abdominal) |
| Anomalías del ST en el electrocardiograma | Cardiomegalia |
| Alteraciones contractilidad segmentaria | Historia de tumor previo |
| Recuperación rápida (7-24 días) | Recuperación más lenta (10-90 días) |
El trabajo no recibió ningún tipo de Financiación.
Conflicto de interesesS. Raposeiras Roubin es editor asociado de REC: CardioClinics; se ha seguido el procedimiento editorial establecido en la revista para garantizar la gestión imparcial del manuscrito.








